TOP
官方微信
X

官方微信

官方微信

官方微博

直播平台

返回顶部
隐藏导航
显示导航
学科专栏|锦州市中心医院神经外二科成功完成高难度罕见颅内黑色素瘤切除手术
来源:锦州市中心医院 时间:2026-04-07  浏览次数:1295
浏览次数:1295


大脑,被誉为 “生命禁区”;颅内肿瘤,更是悬于生命之上的 “定时炸弹”。颅内原发性黑色素瘤(primary intracranial malignant melanoma,PIMM)十分罕见,仅占颅内肿瘤的0.07%~0.17%,它起源于颅内黑色素细胞,恶性程度极高,肿瘤血供极为丰富,生长快、边界不清、易出血播散,往往毗邻于重要神经、血管、功能区,手术风险与难度极高。

近期我院神经外二科顺利完成一例高难度罕见颅内黑色素瘤显微切除手术,患者术后恢复良好,目前康复治疗中。






病例回顾

本例患者为 61 岁女性,近三个月来出现间断头痛发作症状,未予诊治,症状反复发作。入院前2天突然出现剧烈头痛症状,伴随有癫痫局灶性发作、面瘫、呕吐等症状。

到院行头CT、MRI检查后初步诊断为颅内占位性病变,但因其影像学表现非常复杂,不同于常见颅内肿瘤,吴镝主任所带领的治疗团队联合北京天坛医院等的数位专家对此病例进行充分的分析讨论,肿瘤性质考虑为颅内黑色素瘤,肿瘤位于重要功能区、边界不清晰、血运极其丰富,手术难度很大,最终通过充分论证制订了通过精准入路、显微精细操作、术中严密监测等预案,力争把手术风险降到最低,为后续综合治疗创造条件。

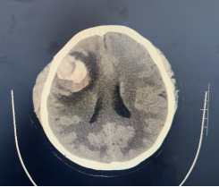
术前

经过周密的术前准备后手术得以顺利实施,术中过程顺利,肿瘤镜下完全切除,术后未出现手术副损伤症状以及围手术期并发症,病人术后恢复情况良好,术后病理提示黑色素瘤。病人家属对手术效果非常满意。

术后

神外二科吴镝主任介绍颅内黑色素瘤非常罕见,发生率低,并且病情演变非常迅速,死亡率极高。国内各大医院报道此类病例较少,绝大部分病例都因脑出血复发二次开颅病理证实得以确诊,几乎都是短期快速死亡。此病例虽然术前诊断明确,但几乎没有任何可借鉴的手术实战经验。因此术前跟家属进行了详细的沟通,家属完全理解和信任,最终手术取得了满意的效果,我们团队积累了非常宝贵的经验。新年以来科室共完成三例高难度颅内肿瘤手术,科室逐渐提升颅内肿瘤方面的诊治能力,目前与省内知名医院以及北京天坛、301医院,北京三博 ,上海华山、天津环湖等医院形成深部合作,对颅内各种疑难杂症的诊治能力有进一步的提高,更好的为辽西广大人民提供强有力的保障。  





供稿/神经外二科  张金立 

审稿/神经外二科  吴镝

校对/外科党总支  张爽

编辑/宣传企划科  徐剑